Cabinet d'Orthodontie
Docteur Narimane BOUAZZA Orthodontiste
Cabinet d'Orthodontie

2,Rue Arthur Rimbaud - 1er étage sans Ascenseur
31240 SAINT JEAN

Docteur Narimane BOUAZZA Orthodontiste

Blog - Page 2

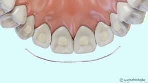
Fil de contention

Traitement multi-attaches

Frénectomie labiale

Le quad helix : traitement du palais et de l’alignement des dents

Orthodontie : la traction d'une canine palatine incluse

Appareil multi-attache lingual

Affichage des articles 7-12 sur 89

Création par Webdentiste

Connexion